All-on-4® – fix, nem kivehető teljes fogsor akár 48 óra alatt

A fogászati probléma

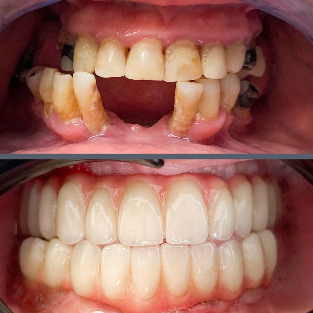
56 esztendős páciensünk régóta fennálló ínygyulladása átterjedt a teljes fogágyra. Az egyre súlyosbodó parodontális betegség miatt fogai annyira meglazultak, hogy már használhatatlanok voltak: se rágásra, se harapásra nem voltak alkalmasak, ráadásul esztétikailag is visszatetsző látványt nyújtottak. Az alapos állapotfelmérés és 3D CT-felvétel igazolta, hogy fogai menthetetlenek: eltávolításuk indokolt, pótlásuk szükséges.

A probléma megoldása

Páciensünk végleges, teljes értékű megoldást keresett az életét minden téren negatívan befolyásoló fogászati problémára: már az első találkozás során leszögezte, hogy csakis rögzített megoldás jöhet szóba, mert nem akarja vállalni a kivehető protézissel járó kompromisszumokat, kínos szituációkat (lötyög, elmozdul, akár kiesik). Ismertettük vele a mai implantáció egyik csúcsát jelentő All-on-4® eljárás fő előnyeit, ő pedig azonnal rábólintott. Dr. Farkas Dávid szájsebész egyetlen beavatkozás keretében eltávolította a menthetetlen fogakat, majd beültette az állcsontonként 4 darab implantátumot. Az implantációt követő 48 óra múlva dr. Erdélyi Fruzsina protetikus szakorvosunk az implantátumokra rögzítette a speciális műanyagból egyedileg legyártott ideiglenes pótlást. Az implantátumok beépülése mintegy hat hónap alatt komplikációmentesen lezajlott. Ezt követően a páciens visszatért a Madentába, ahol dr. Erdélyi az ideiglenes pótlás viselése során szerzett benyomásait meghallgatva megtervezte a végleges cirkónium alapú fogsort.

Eredmény

Páciensünk mosolya három látogatás során, összesen egy év alatt újult meg teljesen, de már az ideiglenes fix pótlás behelyezése után felszabadultan mosolyoghatott, az evéssel sem volt többé gondja. A végleges híd egyetlen cirkóniumtömbből került kialakításra, így nemcsak roppant esztétikus és természetes hatású, de rendkívül stabil, erős és tartós fogsort kapott a páciens.

„A kezelés eredményeként nemcsak új fogsort kaptam, hanem régen elfeledett érzéseket, élményeket. Ismét szélesen mosolygok, felszabadultan mozgok az emberek között, jókat és jóízűen eszem. Az a temérdek fájdalom, kellemetlenség, a sok kínos, keserű pillanat, amiben a fogsorom állapota miatt részem volt, mára csak rossz emlék. Emlékszem, de csak azért őrzöm magamban azt a sötét időszakot, mert így annál jobban értékelem, amit az All-on-4®-tól és a Madenta szakembereitől kaptam.”

Visszahívást kérek!