
Munkáink
Régóta keres megoldást fogászati problémáira?
Ismerjen meg néhányat a rendelőnkben történt átalakulások közül!
Reméljük, folyamatosan bővülő gyűjteményük Önnek is erőt ad a döntéshez, hogy rálépjen a szép és egészséges mosolyhoz, a teljes élethez vezető útra!

előtte-utána
Szép fogsor elérése: milyen kezelések segíthetnek?

előtte-utána
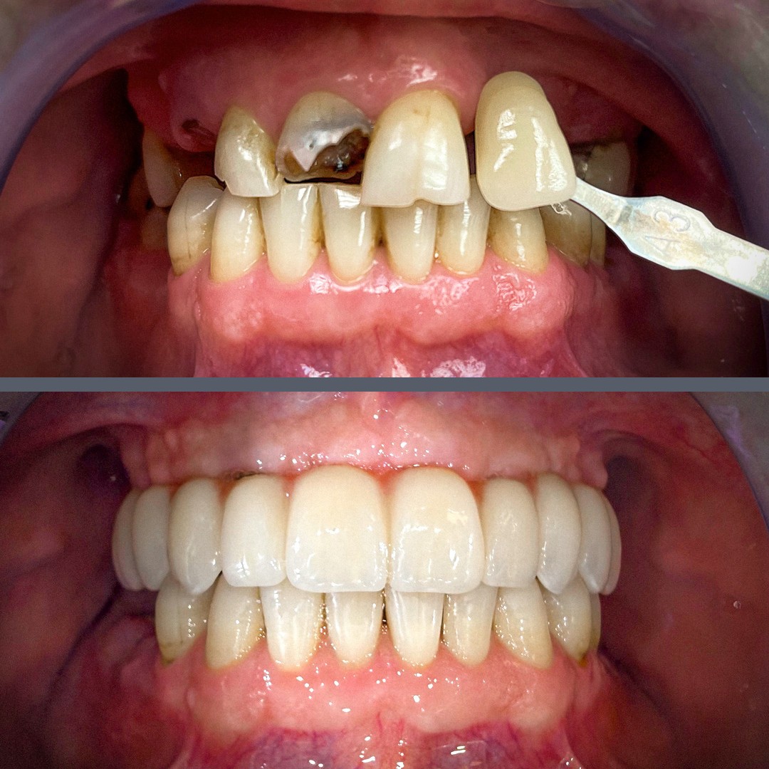
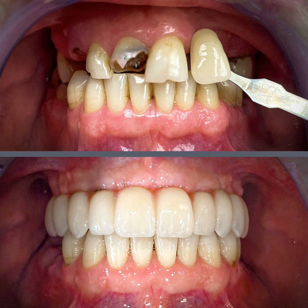
Frontfogak közötti rések (diasztéma) és szabálytalanságok korrekciója cirkónium koronákkal

előtte-utána
All-on-4® alsó–felső fogpótlás: stabil harapás, esztétikus mosoly és kényelmes mindennapok
Kezelés: All-on-4®

előtte-utána
All-on-4® teljes megújulás: stabil harapás és természetes, élethű mosoly
Kezelés: All-on-4®

előtte-utána
Felső All-on-4® és alsó implantátumos korona és híd – látványos mosolyátalakítás
Kezelés: All-on-4®

előtte-utána
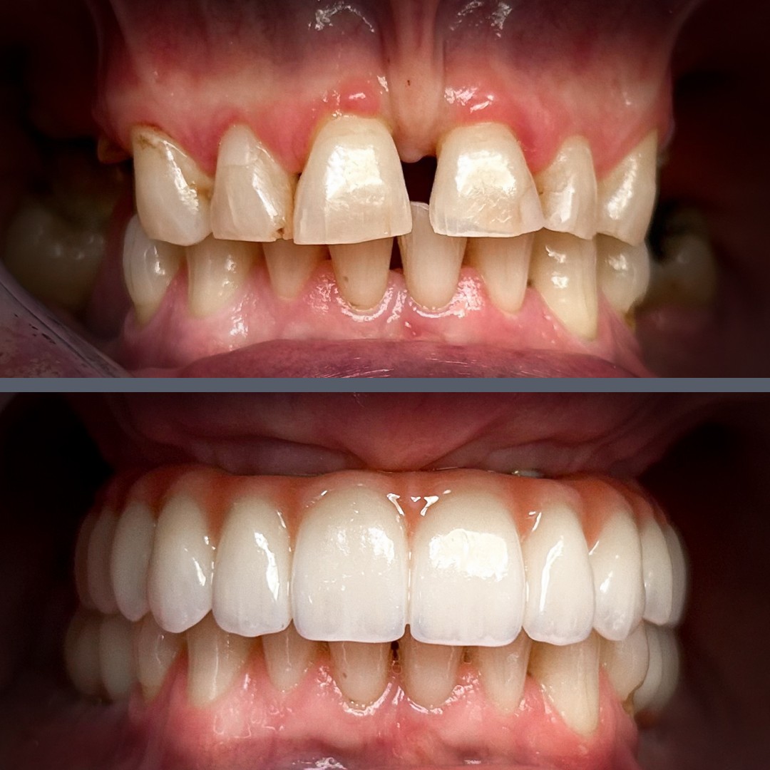
Természetes, harmonikus mosoly cirkónium koronákkal és hidakkal
Kezelés: Fogpótlás

előtte-utána
Új mosoly, új életminőség: implantátumokon rögzített cirkónium híd és koronák
Kezelés: Fogászati implantátum

előtte-utána
Teljes mosolymegújítás: felső All-on-4®, alsó körhíd
Kezelés: All-on-4®

előtte-utána
Alsó-felső foghiány pótlása és harapáskorrekció cirkónium koronákkal
Kezelés: Fogászati implantátum

előtte-utána
Mosolytervezés előtte-utána: új mosoly héjakkal és koronákkal mindössze egy hónap alatt
Kezelés: Fogászati héj, veneer

előtte-utána
Teljes mosolymegújítás körhíddal és implantátumokra épülő koronákkal
Kezelés: Fogászati implantátum

előtte-utána
Felső All-on-4®, alsó implantátumos fogpótlás – teljes mosolyrekonstrukció
Kezelés: All-on-4®

előtte-utána
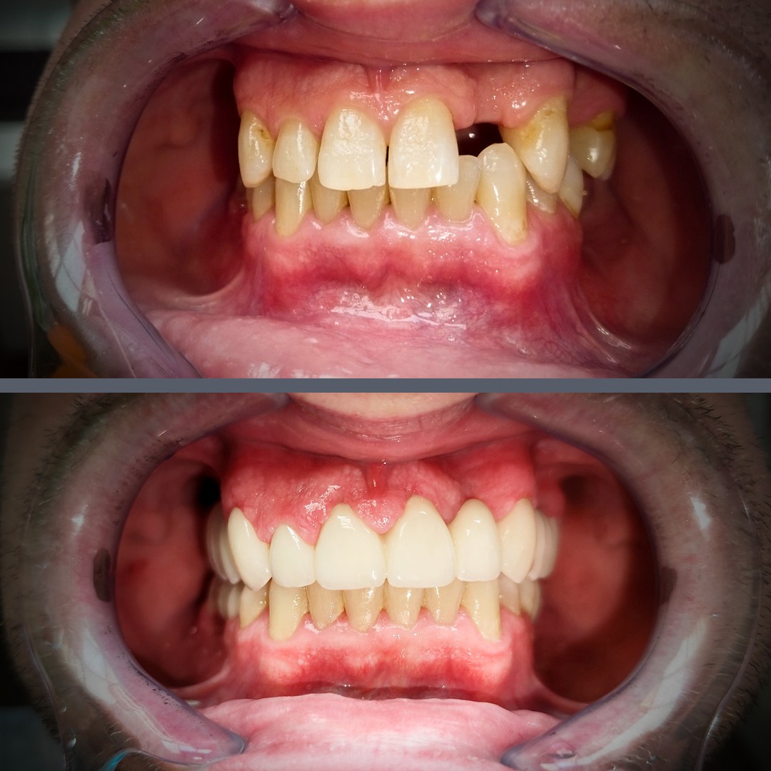
Foghiány és esztétikai problémák – helyreállítás implantátumokkal és cirkónium koronákkal
Kezelés: Fogászati implantátum

előtte-utána
Fogágybetegség, foghiány, kilazult, mozgó fogak – All-on-4® a megoldás!
Kezelés: All-on-4®

előtte-utána
Fogágybetegség, menthetetlen fogak? – All-on-4® implantáció, fix fogpótlás 48 óra alatt
Kezelés: All-on-4®

előtte-utána
Esztétikai rehabilitáció és harapáskorrekció cirkónium fogpótlással 4 hónap alatt
Kezelés: Fogpótlás

előtte-utána
Előrehaladott fogágybetegség – Teljes szájrehabilitáció All-on-4®-ral, 5 hónap alatt
Kezelés: All-on-4®

előtte-utána
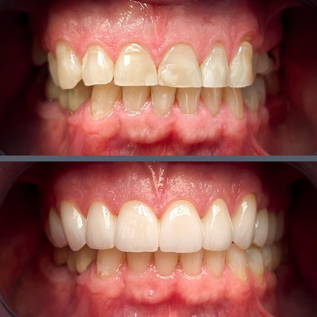
Új mosoly felső front koronákkal – esztétikai zóna ellátása
Kezelés: Fogpótlás

előtte-utána
Kiterjedt szuvasodás, foghiány – helyreállítás körhíddal és implantátumokon rögzülő koronákkal
Kezelés: Fogászati implantátum

előtte-utána
Esztétikai fogászati megújulás cirkónium körhíddal – teljes mosolyrekonstrukció 8 hónap alatt
Kezelés: Fogpótlás

előtte-utána
Rágófogak pótlása implantátumokkal, frontfogak esztétikai helyreállítása cirkónium koronákkal
Kezelés: Fogpótlás

előtte-utána
Fogászati rehabilitáció cirkónium pótlásokkal – az egészséges, magabiztos mosolyért
Kezelés: Fogászati implantátum

előtte-utána
Foghiány és esztétikai problémák? – Fogászati rehabilitáció alsó-felső cirkónium híddal
Kezelés: Fogpótlás

sztori
Állkapocsízületi probléma kezelése: több mint fogszabályozás – Flóra esete a szakember szemével

előtte-utána
Foghiányok, gyökérkezelt és tömött fogak – teljes rehabilitáció All-on-4®-ral
Kezelés: All-on-4®

sztori
„Valódi újjászületés volt!” – Állkapocsízületi probléma kezelése fogszabályozással

előtte-utána
Mosoly helyreállítása implantátumokkal és cirkónium hidakkal
Kezelés: Fogászati implantátum

előtte-utána
Teljes fogsor helyreállítása: Alsó-felső All-on-4® megoldás 7 hónap alatt
Kezelés: All-on-4®

előtte-utána
Teljes fogászati rehabilitáció felül körhíddal, alul komplex helyreállító kezeléssel, hat hónap alatt
Kezelés: Fogászati implantátum

előtte-utána
Új mosoly 4 hónap alatt: Esztétikai problémák és harapási nehézség megoldása cirkónium körhíddal
Kezelés: Fogpótlás

előtte-utána
Foghiány és esztétikai problémák megoldása – Komplett fogászati rehabilitáció implantátumokkal és cirkónium hidakkal
Kezelés: Fogászati implantátum

előtte-utána
Stéges fogsor: a teherbíró, stabil, anyagilag kedvező megoldás
Kezelés: Fogpótlás

előtte-utána
Fogágybetegség után All-on-4® – egy picit másként, de 100%-os végeredménnyel!
Kezelés: All-on-4®

előtte-utána
Tíz hónap alatt teljes alsó-felső fogsor rehabilitáció All-on-4®-ral
Kezelés: All-on-4®

előtte-utána
Foghiány, lekopott fogak, amalgámtömések – Fogászati rehabilitáció cirkónium körhíddal, koronákkal
Kezelés: Fogpótlás

előtte-utána
Fogágybetegség (parodontitis) miatt kihúzásra ítélt fogak – 5 hónap alatt teljes fogsor az All-on-4®-ral
Kezelés: All-on-4®

előtte-utána
Periimplantitis miatt menthetetlen implantátumok, elégtelen csontállomány? Van megoldás!
Kezelés: Fogpótlás

előtte-utána
Fogágybetegség miatt menthetetlen fogak – Megoldás: All-on-4®
Kezelés: All-on-4®

előtte-utána
Lokátoros fogsor: fix megoldás teljes foghiányra is, csontpótlás nélkül
Kezelés: Fogpótlás

előtte-utána
All-on-4®: már az ideiglenes fogsor is fix, rögzített – akár 48 óra alatt
Kezelés: All-on-4®

előtte-utána
Mosolyrehabilitáció implantációval, cirkónium koronákkal – a minőségi életért
Kezelés: Fogászati implantátum

sztori
Fogászati novella? Egy nem mindennapi beszámoló egy nem mindennapi páciens tollából

előtte-utána
All-on-4® – fix, nem kivehető teljes fogsor akár 48 óra alatt
Kezelés: All-on-4®

előtte-utána
All-on-4® – implantátumokon rögzülő fogsor, szép mosoly a lehető legrövidebb idő alatt
Kezelés: All-on-4®

sztori
Fogszabályzóval, mégis szabadon – élet az Invisalignnal!

sztori
Egyiküknek All-on-4®, másikuknak csontpótlás és implantáció – a végeredmény így is, úgy is álomszép!
sztori
Nem mind arany, ami fénylik – de ez az!
Iconix® esztétikus arany fogszabályozó készülék

sztori
Újabb All-on-4® sikertörténetünk – a szájsebész szemszögéből

sztori
Két orvos, négy implantátum, életre szóló boldogság – újabb All-on-4® sikertörténet a Madentában!

sztori
Ideje mosolyogni, ideje felnőni! – Egy villámgyors, ám annál eredményesebb fogszabályozás története

sztori
Az All-on-4®-nak köszönhetem az új életem!

sztori
videóinterjú
All-on-4®: és kiszínesedik a világ!

sztori
videóinterjú
Az All-on-4®-nak hála, új életet kezdünk, a mosolyom és én!

sztori
videóinterjú
Madenta – ahol a mosoly születik

sztori
Én és a fogszabályozóm

sztori