Esztétikai rehabilitáció és harapáskorrekció cirkónium fogpótlással 4 hónap alatt

A fogászati probléma

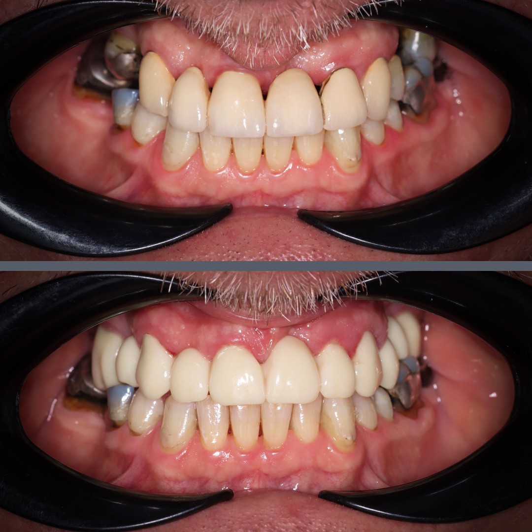
66 éves férfi páciensünk komplex fogászati problémával érkezett rendelőnkbe. Fogsora nemcsak esztétikáját vesztette; a foghiányok és a meglévő fogak kedvezőtlen állapota miatt harapási eltérés alakult ki nála, és elégtelenné vált a rágófunkció.
A cél egy esztétikus, természetes hatású mosoly és az optimális harapási pozíció, megfelelő rágófunkció helyreállítása volt.

A probléma megoldása

A kezelés első szakaszában a felső állcsonton megtörtént a nem megtartható fogak eltávolítása. A páciens ideiglenes koronákat kapott, melyek már a gyógyulási időszakban is javították komfortérzetét.
Második látogatásakor sor került a végleges pótlások átadására: a felső fogívre körhíd készült a fémmentes cirkóniumból, míg az alsó régióban cirkónium koronákkal pótoltuk a hiányzó fogakat.

Eredmény

A teljes kezeléssorozat mindössze négy hónapot vett igénybe. A férfi elégedetten távozott rendelőnkből egy esztétikájában és funkciójában helyreállított fogsorral.

Visszahívást kérek!