Foghiány és esztétikai problémák – helyreállítás implantátumokkal és cirkónium koronákkal

A fogászati probléma

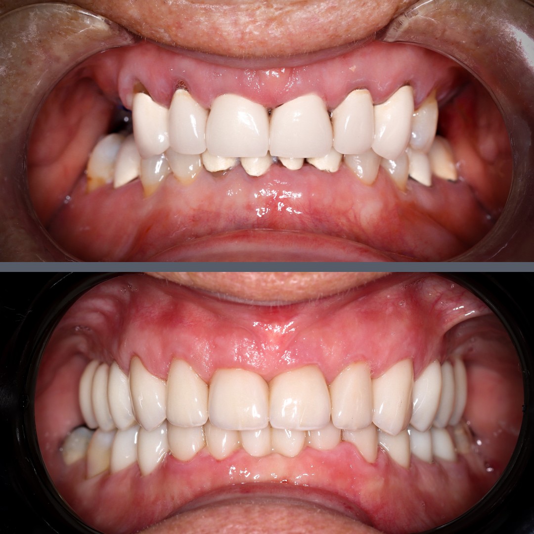
Közel 70 évesen a változás mellett döntött! Páciensünk foghiányokkal, illetve több rossz állapotú, esztétikájában nem megfelelő foggal érkezett hozzánk. Olyan hosszú távú megoldást keresett, amely stabil, tartós és természetes hatású. A teljes alsó és felső fogívre kiterjedő, komplex beavatkozás várt rá.

A probléma megoldása

Először eltávolítottuk a menthetetlen fogakat, és csontpótlással egybekötve négy implantátumot ültettünk be a felső állcsontba. Emellett több szuvas fogat töméssel kezeltünk.
A második lépésben ideiglenes koronákat helyeztünk fel, amelyek biztosították az esztétikus megjelenést, és védték az implantátumokat a gyógyulási időszak alatt.
A végső, protetikai fázisban elkészült a teljes fogpótlás: a foghiányokat implantátumokra rögzített cirkónium koronákkal pótoltuk, a saját fogakat szintén cirkónium koronákkal láttuk el. A fémmentes cirkónium természetes hatású, rendkívül esztétikus és nagy teherbírású anyag, amely frontfogak és rágófogak pótlására egyaránt ideális.

Eredmény

Páciensünk életminősége jelentősen javult a szájrehabilitáció eredményeként. Ismét jóízűen fogyaszthatja kedvenc ételeit, és magabiztosan mosolyoghat – azzal a tudattal, hogy időtálló, teljes értékű megoldást kapott.


Visszahívást kérek!