Új mosoly felső front koronákkal – esztétikai zóna ellátása

A fogászati probléma

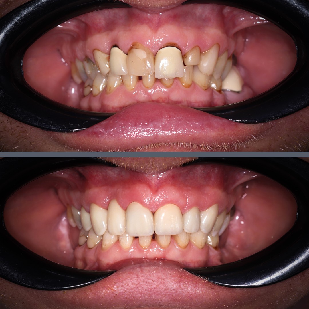
58 éves páciensünk régóta elégedetlen volt felső frontfogai megjelenésével. Mosolygás közben már inkább eltakarta a száját, mintsem felszabadultan nevetett volna. A páciens csak az esztétikai zóna ellátását szerette volna.

A probléma megoldása

Első alkalommal egy alsó rágófogat és egy, a felső front régióban lévő, korábban gyökérkezelt, de már nem menthető fogat távolítottunk el. Ez utóbbi helyére implantátumot ültettünk be. A gyógyulási időszak alatt ideiglenes koronákkal biztosítottuk a zavartalan mindennapi életet és az esztétikus megjelenést.
A második kezelés során elkészültek és felkerültek a végleges koronák. A cirkóniumból készült pótlások az implantátumra és a megmaradt saját frontfogakra rögzülnek.
A fémmentes cirkónium a természetes fogakéhoz hasonló fényáteresztő képességgel és magas esztétikai értékkel bír, ezért ideális a mosolyzónában történő felhasználásra. 

Eredmény

Az új, harmonikus mosoly látványosan megváltoztatta páciensünk megjelenését és jelentősen növelte önbizalmát. 


Visszahívást kérek!