Rágófogak pótlása implantátumokkal, frontfogak esztétikai helyreállítása cirkónium koronákkal

A fogászati probléma

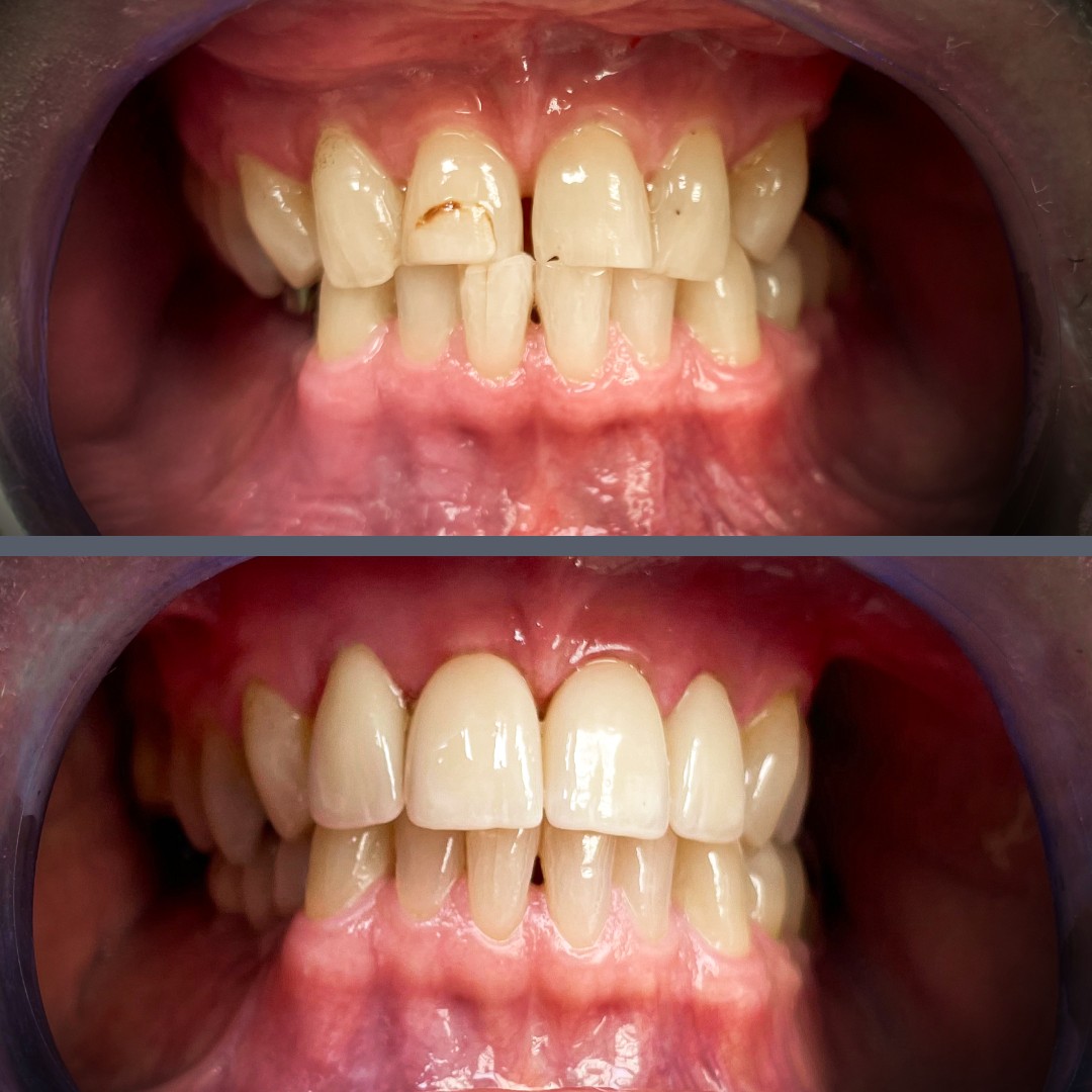
A 64 éves férfi az alsó és felső moláris régióban több fogát is elvesztette az évek során, ami egyre súlyosbodó rágási nehézségeket eredményezett nála. A felső frontfogak állapota szintén nem volt kielégítő; elsősorban esztétikai szempontból igényeltek helyreállítást. Összetett fogászati rehabilitáció mellett döntöttünk, hogy a páciens újra felszabadultan mosolyoghasson és gondtalanul élvezhesse kedvenc ételeit. 

A probléma megoldása

Az alsó és felső moláris régió foghiányait implantátumokkal pótoltuk. A felső állcsont esetében a megfelelő csontmennyiség biztosítása érdekében sinus lift eljárást is végeztünk. A gyógyulási idő letelte után az implantátumokra cirkónium hidakat helyeztünk. A felső frontfogakat a megfelelő előkészítés után cirkónium koronákkal állítottuk helyre.
Az implantátumok biztos alapot teremtenek a rágófogak pótlásához, míg a cirkónium koronák természetes hatású, esztétikus mosolyt garantálnak.

Eredmény

A sikeres fogászati rehabilitáció eredményeként nemcsak páciensünk fogsora újult meg, de életminősége is javult: bátran mosolyoghat és az étkezés újra örömteli élményt jelent számára. 

Visszahívást kérek!