Esztétikai fogászati megújulás cirkónium körhíddal – teljes mosolyrekonstrukció 8 hónap alatt

A fogászati probléma

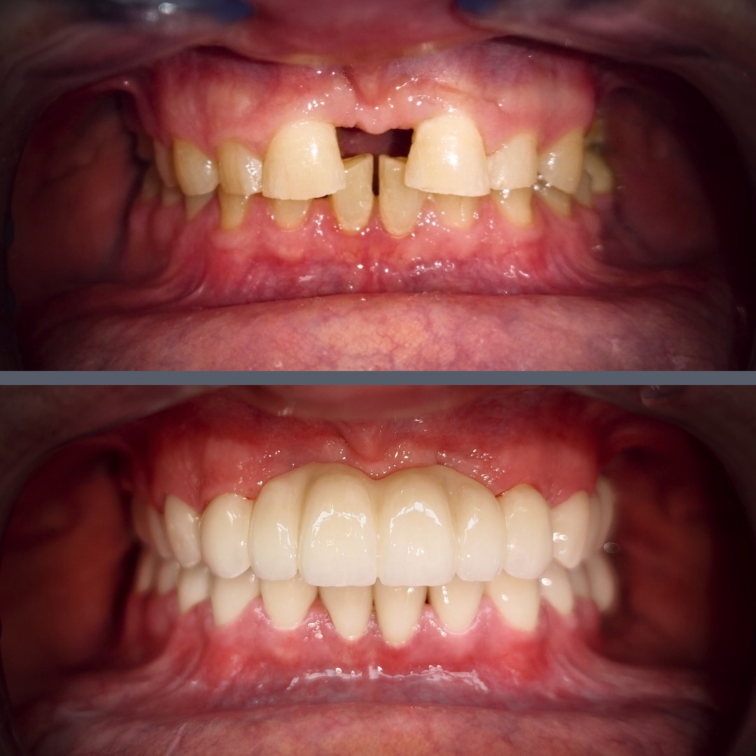
42 éves férfi páciensünk elsősorban a mosolya megjelenése miatt fordult hozzánk: a front régióban fogiánya volt, és teljes fogazata nem nyújtott harmonikus, esztétikus összhatást; emiatt elvesztette önbizalmát, és a felszabadult mosolyok, nevetések is kikoptak életéből. 

A probléma megoldása

Első alkalommal professzionális fogtisztításon esett át, és két fogát eltávolítottuk. A második találkozás során ideiglenes koronákat kapott. A gyógyulási idő letelte után harmadszor is visszatért rendelőnkbe. Lenyomat alapján néhány nap alatt elkészült a végleges alsó-felső cirkónium körhíd, amit a megfelelő módon előkészített saját fogakra rögzítettünk.

Eredmény

A teljes kezelés három találkozást igényelt, és összesen 8 hónapon át tartott. Páciensünk a kontrollviziten örömmel számolt be róla, hogy új mosolya nemcsak megjelenését változtatta meg, hanem az életét is: végre bátran, felszabadultan mosolyog.


Visszahívást kérek!