All-on-4® alsó–felső fogpótlás: stabil harapás, esztétikus mosoly és kényelmes mindennapok

A fogászati probléma

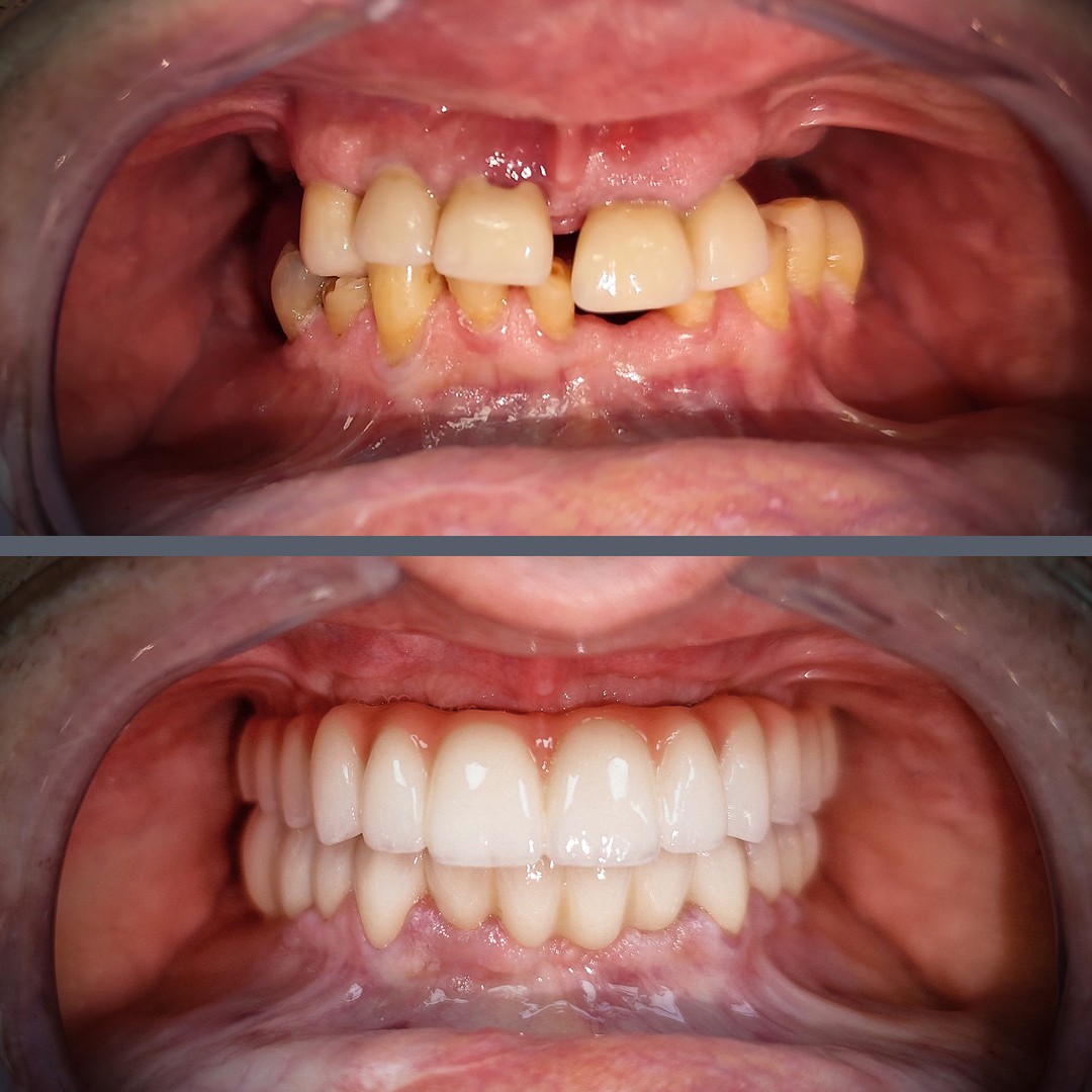
67 éves páciensünk hosszabb ideje küzdött foghiánnyal, törött fogakkal és az éjszakai fogcsikorgatás következményeivel. Ezek együtt már nemcsak a rágást tették kényelmetlenné, hanem a mosolya megjelenését is jelentősen rontották. Szerette volna, ha ismét teljes, stabil és rendezett fogsorral élhet.

A megoldás

Az alsó és felső fogív helyreállítását All-on-4® eljárással végeztük. Az első kezelés során eltávolítottuk a nem menthető fogakat, és mindkét állcsontba beültettünk négy Nobel Biocare implantátumot. Ezekre már másnap rögzítettük az ideiglenes hidakat, így páciensünk a gyógyulási időszak alatt is fix, esztétikus fogpótlást viselt.
A második fázisban elkészültek a végleges cirkóniumhidak. A korábbi fogcsikorgatás miatt a harapás beállítását kiemelt figyelemmel végeztük, hogy a pótlások hosszú távon is stabilan és kényelmesen működjenek.

Eredmény

Az átalakulás már az első pillantásra látványos. A végleges All-on-4® pótlások harmonikus, rendezett mosolyt adnak, amely érezhetően derűsebbé teszi páciensünk megjelenését. Az esztétikai változás mellett a funkcionális eredmények is kiemelkedőek: a rágás újra kényelmes és biztonságos, a beszéd tisztább, a mindennapi komfortérzet pedig jelentősen javult. Mindezt alig több mint négy hónap alatt sikerült elérni.


Visszahívást kérek!