Fogágybetegség miatt menthetetlen fogak – Megoldás: All-on-4®

A fogászati probléma

A fogágybetegség (parodontitis) nem csak hazánkban, világszerte népbetegségnek számít, a felnőtt népesség komoly hányada érintett. Sokáig nem vagy alig mutat tünetet. Idővel a fogak meglazulását eredményezi, végső soron fogvesztéshez vezet, de a teljes szervezetre is károsan hathat: többek között különböző szív- és érrendszeri megbetegedésekkel is összefüggésbe hozható. Mindez megfelelő szájhigiéniai rutin (fogmosás, fogköztisztító eszközök használata, rendszeres dentálhigiéniai kezelés, fogorvosi ellenőrzés) fenntartásával megelőzhető lenne.

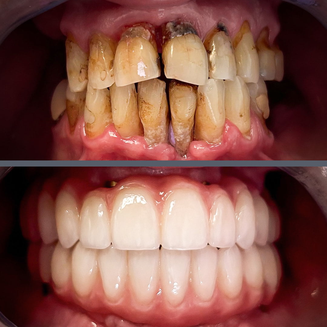
Ötvennyolc esztendős norvég páciensünk is ezzel a fogászati problémával küzdött már hosszú ideje. A krónikus gyulladás miatt fogai kilazultak, elvesztették esztétikájukat, rágásra, harapásra alkalmatlanná váltak. Az állapotfelmérés során készült röntgenfelvételek is megerősítették, hogy a férfi fogai menthetetlenek.  

A probléma megoldása

A rehabilitációt All-on-4® implantációs eljárással végeztük, ami gyors, hatékony, egyben kíméletes megoldást kínál. Sebészeti úton eltávolítottuk a lötyögő fogakat, majd azonnal beültettük a négy-négy Nobel Biocare implantátumot. Néhány nappal később a labor megküldte a lenyomat alapján készített ideiglenes fogsort, amit rögzítettünk az implantátumokhoz. Alig több mint fél év elteltével behelyeztük a végleges pótlást, melynek anyaga a számtalan előnyös tulajdonsággal bíró innovatív cirkónium.  

Eredmény

Páciensünk már a rögzített ideiglenes pótlással is úgy élhette az életét, mint régen, a fogászati gondok előtt. A végleges cirkónium fogsor minden szempontból teljes értékű helyettesítője a természetes fogaknak. A fotókon jól látszik, hogy honnan indultunk és hova jutottunk az All-on-4®-ral. 

Visszahívást kérek!