Teljes fogsor helyreállítása: Alsó-felső All-on-4® megoldás 7 hónap alatt

A fogászati probléma

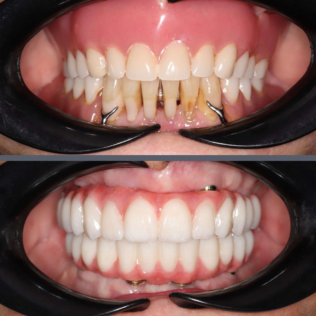
71 esztendős páciensünk foghiány pótlása céljából fordult hozzánk. Az alsó fogíven mindössze néhány saját foga maradt az elülső régióban; a hiányzó rágófogak pótlását mindkét oldalon kapoccsal rögzített részleges kivehető műfogsorral oldották meg korábban. A felső teljes foghiány pótlására évek óta hagyományos kivehető protézist viselt, ami egy sok kompromisszummal járó, kényelmetlen megoldás volt a számára.
Minél rövidebb idő alatt szeretett volna rögzített, fix fogsort kapni, így az All-on-4® implantációs eljárást ajánlottuk neki. 

A probléma megoldása

Mivel felül a teljes fogvesztés miatt már nem volt mit húzni, így ott azonnal beültettünk négy Nobel Biocare implantátumot. Alul első lépésként eltávolítottuk a megmaradt, ám menthetetlen fogakat, majd ugyanazon szájsebészeti beavatkozás keretében behelyeztük az implantátumokat. Néhány napon belül a páciens megkapta a fix alsó-felső ideiglenes hidat. A gyógyulási idő letelte után a labor elkészítette a végleges cirkónium pótlást, amit rögzítettünk a szájában.

Eredmény

A teljes kezelési folyamat két ütemben (1.: húzás, implantálás, ideiglenes híd, 2.: végleges híd), mindössze hét hónap alatt zajlott le. A cirkónium alapú végleges alsó-felső All-on-4® hidakkal stabil, esztétikus, természetes hatású és érzetű megoldást kaptunk. A páciens elégedetten távozott klinikánkról egy kompromisszumoktól mentes életet biztosító fogpótlással, megújult mosollyal. 


Visszahívást kérek!