Fogágybetegség (parodontitis) miatt kihúzásra ítélt fogak – 5 hónap alatt teljes fogsor az All-on-4®-ral

A fogászati probléma

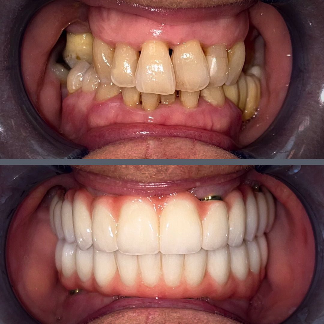
71 esztendős hölgy páciensünk régóta fennálló fogágybetegség (parodontitis) miatt kilazult, mozgó fogakkal érkezett hozzánk. A röntgenkép és az alapos állapotfelmérés igazolta, hogy a fogágy tartóereje már olyannyira meggyengült, hogy a fogak menthetetlenek.
Az előrehaladott fogágybetegség ellenére a páciens csontállománya alkalmas volt a foghúzásokkal egyidejű implantációra, így nem volt kérdés, hogy a kompromisszummentes megoldást kínáló All-on-4® implantációs technológiát javasoljuk neki. A módszer előnyeinek megismerése után a hölgy aláírta a kezelési tervet. 

A probléma megoldása

Eltávolítottuk az instabillá vált fogakat, és azonnal beültettük a 4-4 implantátumot; vagyis egyetlen alkalom keretében megtörténtek a szükséges szájsebészeti beavatkozások. A lenyomat alapján a fogtechnikai labor néhány napon belül legyártotta, mi pedig rögzítettük az ideiglenes hidat: tehát a gyógyulási időszakot, mialatt megtörtént az implantátumok beépülése, a páciens fix, rögzített fogpótlással töltötte.
Öt hónappal később újból felkereste rendelőnket. Megállapítottuk, hogy az osszeointegráció rendben lezajlott és behelyezhető a végleges pótlás. Intraorális szkennerrel ismét lenyomatot vettünk, és néhány munkanapon belül meg is érkezett a laborból a CAD/CAM módszerrel kivitelezett cirkónium híd

Eredmény

A végleges All-on-4® híd rögzítése után a hölgy még a tükörbe sem nézett, máris azt mondta, annyira kényelmes és természetes érzés, mintha visszakapta volna a saját fogait. Amikor meglátta megújult mosolyát, egészen meghatódott. Boldogsága ránk is átragadt, hiszen nekünk is öröm és sikerélmény, amikor ilyen csodálatos átalakulásnak lehetünk részesei! 

Visszahívást kérek!